
This training is accredited by EACCME with 9 CME credits The “Advanced Liver MRI with CT correlation of focal liver lesions and vascular disorders of the liver” course, tailored for abdominal radiologists who wish to refresh their knowledge on liver imaging, provides the tools needed to diagnose complex and challenging cases of focal liver lesions and vascular disorders of the liver.
Attendees will review and gain confidence the main extracellular and hepatobiliary contrast agents available in the market and gain expertise on how selected contrast agents aid in diagnosing and managing complex cases.
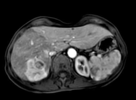
Participants will be presented with cases of atypical focal nodular hyperplasia and hemangiomas with different MR contrast agents, along with cases of epithelioid hemangioendothelioma, angiosarcoma, angiomyolipoma, fibrolamellar hepatocellular carcinoma, infiltrating hepatocellular carcinoma and neoplastic portal vein thrombosis, peribiliary cysts, multiacinar regenerative nodules, focal confluent fibrosis.
Formal lectures will be presented, followed by a case-based review of challenging cases encountered in clinical practice, simulating the reading room experience, to develop appropriate skills for the differential diagnosis of patients with hepatic diseases. Each day, attendees will be provided with approximately 20 cases to review independently, and then jointly to fine-tune their ability to recognize and characterize liver lesions.
Unilabs Academy CME radiology online courses are held in a virtual classroom on Zoom. Participants are encouraged to engage in discussions using their camera and microphone to recreate the face-to-face experience. In this small group among your peers, you are free to ask questions, make mistakes, and learn together with the support of the radiologist mentor.
CME accreditation
This radiology CME course is organised by Unilabs Academy, an EACCME Trusted Provider. An application has been made to the UEMS/EBR for CME accreditation for this event.
Testimonials:
🗨 _"The liver imaging fellowship with Dr. Brancatelli was a delight. The structured lectures, clear presentation, and engaging format make for an impeccable learning experience. Highly recommended!"
_Tommy Sjöberg (fellow, April 2024)
- Review the fundamentals of hepatobiliary contrast agents and their clinical applications
- Understand the uncommon presentations of common liver lesions along with rare and challenging lesions in the cirrhotic and non-cirrhotic liver
- Learn to identify hepatic observations in patients with vascular liver diseases
- Lectures covering a wide variety of topics including hepatobiliary contrast agents, solid lesions both in the cirrhotic and non-cirrhotic liver and hepatic vascular diseases
- Individual case reading and interpretation of provided cases
- Group case discussion of the selected cases
- Plenty of time for Q&A with the radiologist mentor
- Access to presentation slides, session recordings, and other course materials
- Access to discussed cases before and after the fellowship
- Your own personal dashboard and course materials on the TMC Academy radiology education platform
- Certificate of attendance - An application has been made to the UEMS/EBR for CME accreditation for this event
Group Discounts for Radiology Education
Unilabs Academy is happy to offer group discounts to support radiology education within hospitals or practices. Please email us at academy.radiology@unilabs.com for details.
| Hardware | Tablets * | Minimum | Recommended |
|---|---|---|---|
| Memory (RAM): | 2 Gigabyte | 8 Gigabyte | 16 Gigabyte |
| Processor (CPU): | Dual core 1.85 Ghz | Dual core 2 Ghz | Quad core 2.5 Ghz |
| Internet connection | Minimum | Recommended | |
| Speed: | 10 Mbps | 25 Mbps | |
| Software | Tablets | Desktop | |
| Browser: | Safari * | Chrome ** | |
- * Tested with Safari on iPad 9.7 (2017), should also work on Android with Chrome. User interface not optimized for smaller screens. Large cases (more than 600 images) are not able to be opened on tablet or mobile devices due to memory consTableRowaints.
- ** Firefox, Edge and Safari also work but might not provide an equally smooth experience. Internet Explorer is not supported.


